Nuestros exámenes de radiología

Permite tener una visión general de todas las estructuras dentarias y maxilofaciales en una imagen plana (2D), especial para evaluar evolución dentaria, patología de los maxilares e indispensable en ortodoncia.

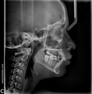
La telerradiografía Lateral Digital es una radiografía en la que se evalúa el perfil del paciente, sus tejidos blandos y óseos, es habitual en estudios y control de tratamientos de ortondoncia, patologías craneomandibulocervicales y cirugía ortognática y plástica, entre otros.

Radiografía frontal de cráneo, también de gran utilidad en ortodoncia y cirugías maxilofaciales.

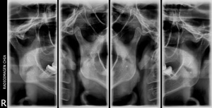
Radiografía extra oral donde vemos la articulación temporo mandibular en cuatro cortes, dos a boca abierta y dos a boca cerrada, en una sola placa.
¿Qué es la alteración de ATM?
La alteración de la articulación temporomandibular (ATM) ocurre cuando la bisagra que conecta el maxilar superior y la mandíbula inferior no trabaja correctamente. Esta bisagra es una de las articulaciones más complejas del cuerpo, es responsable de abrir y mover la mandíbula inferior hacia delante, atrás y de lado a lado. Todos los problemas que impiden el trabajo normal de este sistema complejo de músculos, ligamentos, discos y huesos, se agrupan bajo la denominación de alteración de ATM. Con frecuencia, la alteración de ATM se siente como si la mandíbula saltara o tronara o se atorara por unos segundos.

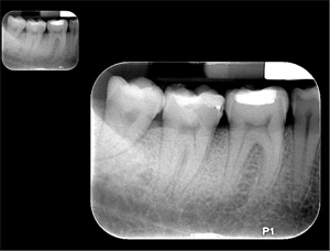
Un conjunto de radiografías tipo bitewing usualmente consiste de cuatro radiografías que se colocan cerca de los molares. Se les conoce como bitewing debido a que se muerde sobre una aleta de cinta o cartón para sujetarlas en su sitio. Las radiografías de tipo bitewing reflejan la corona de los dientes molares y premolares y la altura del hueso entre los dientes, ayudando en el diagnóstico de caries y enfermedades periodontales. Las radiografías tipo bitewing se recomiendan en intervalos de un año. Su dentista puede recomendar tomarlas con más o menor frecuencia, basándose en su salud oral.

Se toma frecuentemente a la mano izquierda. El uso de radiografía de carpo en el campo de la odontología es para estimar la edad ósea y compararla con la edad cronólogica. Además sirve para determinar peaks de crecimiento.
RECOMENDACIONES
Las pruebas que se realizan en nuestro centro no necesitan ninguna preparación previa, se realizan de pie o sentado y su duración oscila entre 5 a 20 segundos.
Sólo se requiere retirar cualquier objeto metálico de cabeza, cuello o cara, así como prótesis removibles si las hubiera.
Si está embarazada o sospecha estarlo, deberá ponerlo en conocimiento del centro, para que tomen las medidas oportunas.
Más de 300 especialistas confían en nuestros servicios para confirmar sus diagnósticos
Equipos de última generación
Trabajamos con la tecnología tridimensional CBVT (Cone Beam Volumetric Tomography) de última generación cumple con multitud de requerimientos necesarios para el diagnóstico en endodoncia, periodoncia, ortodoncia, implantología, cirugía dental y maxilofacial y en análisis ATM.
Fácil acceso
Contamos con dos sedes en los municipios de Chía y Cajicá, a tan solo 20 minutos de Bogotá, lejos del caos, pico y placa y trancones de la capital. Servicio de parquedero exclusivo para nuestros clientes.
Personal calificado
Contamos con un equipo interdisciplinario de profesionales altamente capacitados para atender sus exigencias y necesidades para las ayudas de apoyo diagnóstico, permitiéndonos determinar el plan de tratamiento, el cual siempre es conversado con el paciente, logrando en conjunto una mejor solución a sus problemas.
NUESTRO BLOG
Entérate de lo que está pasando en Radioimagen donde siempre estamos innovando para servirte mejor
